A better life starts with a beautiful smile.
Does your smile no longer glow? Does your teeth’s shade cause your gloomy smile? If yes, teeth whitening by your Blackburn cosmetic dentist at Healthy Smiles will bring the shine back to your pearly whites!
Teeth Whitening has long been a popular go-to cosmetic dental treatment for everyone who wants to quickly transform their smile to be brighter. See immediate results in just one dental appointment at Healthy Smiles with the help of advanced cosmetic dentistry technology.
*Book your Zoom teeth whitening appointment in Blackburn today. Take-home teeth whitening $395.
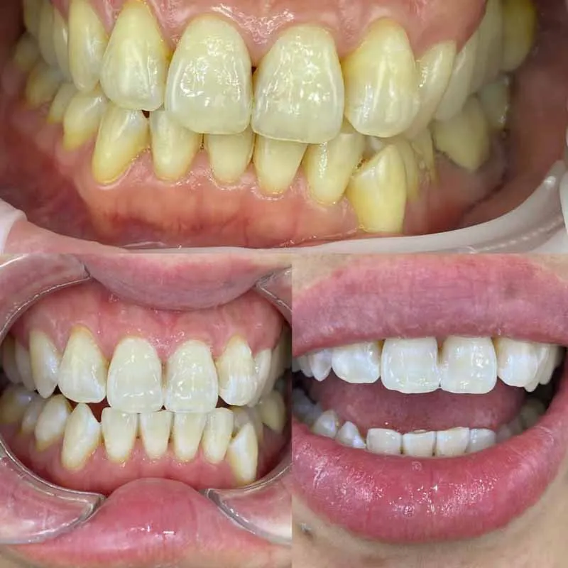
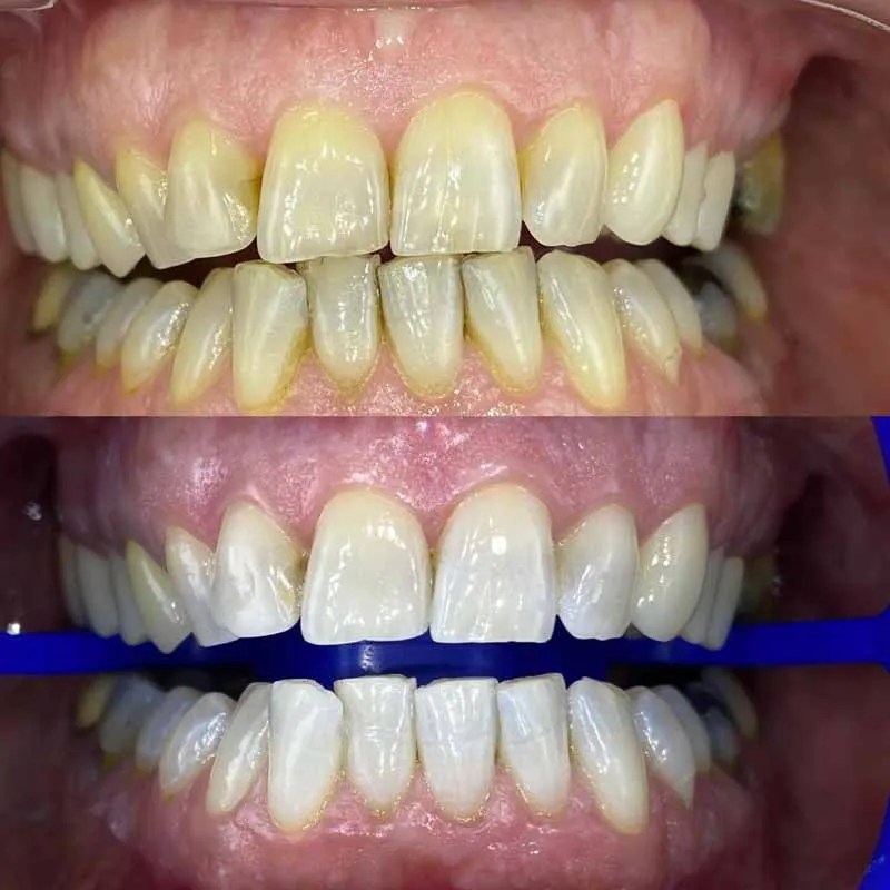
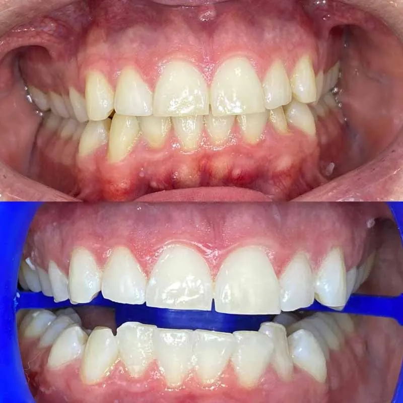
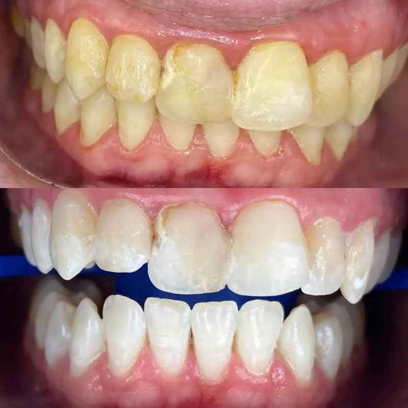
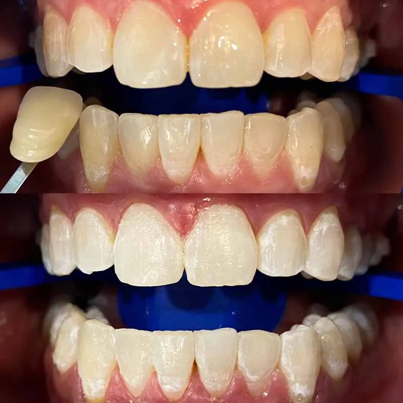
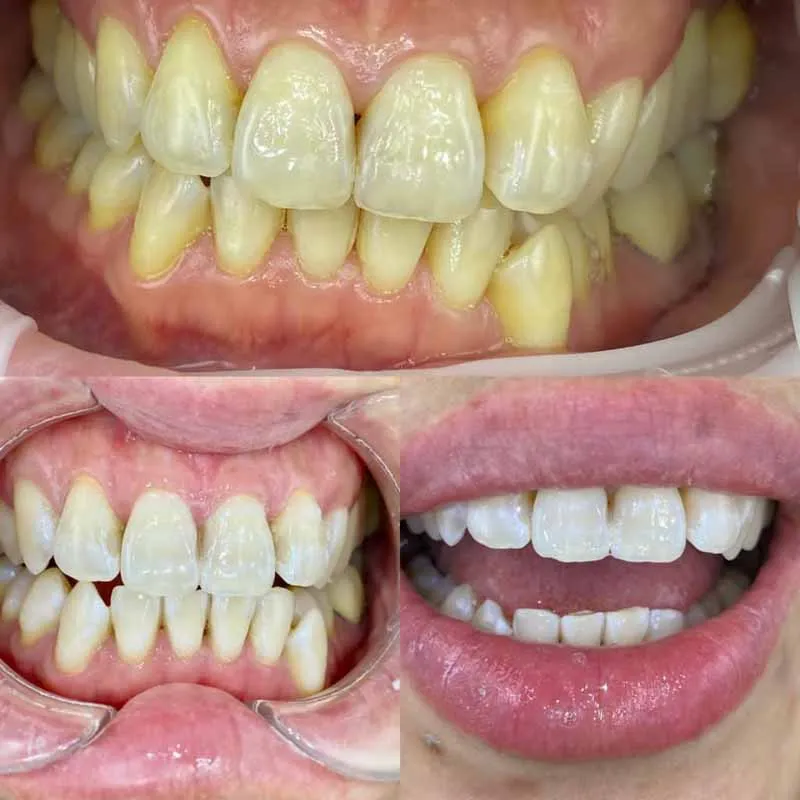
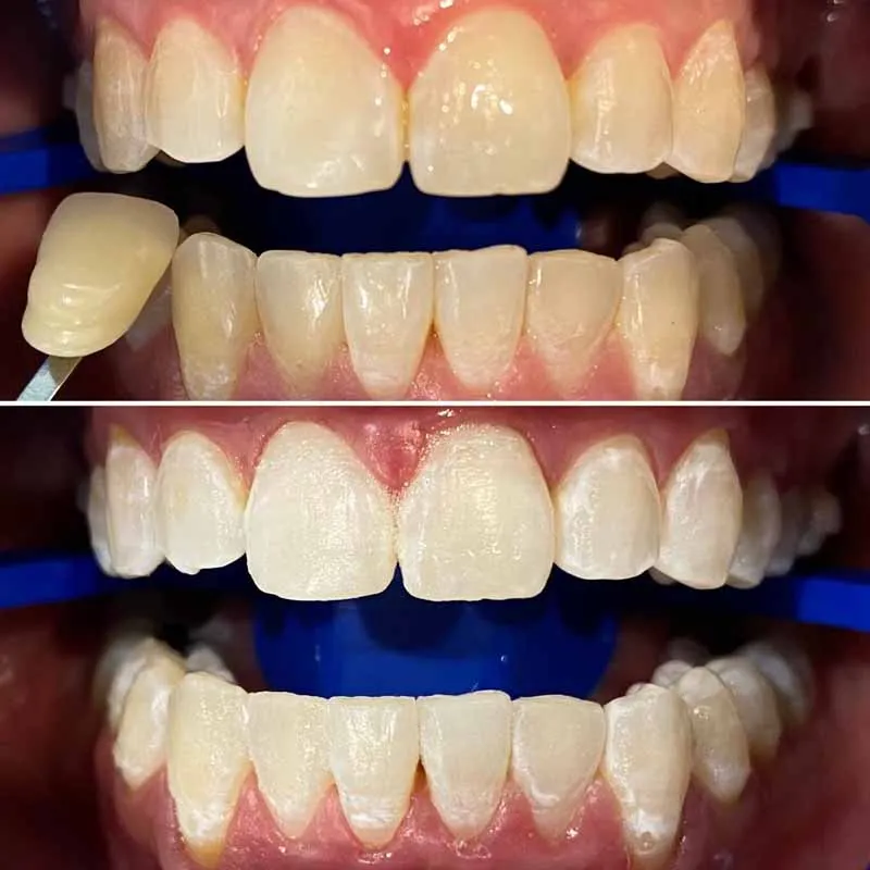
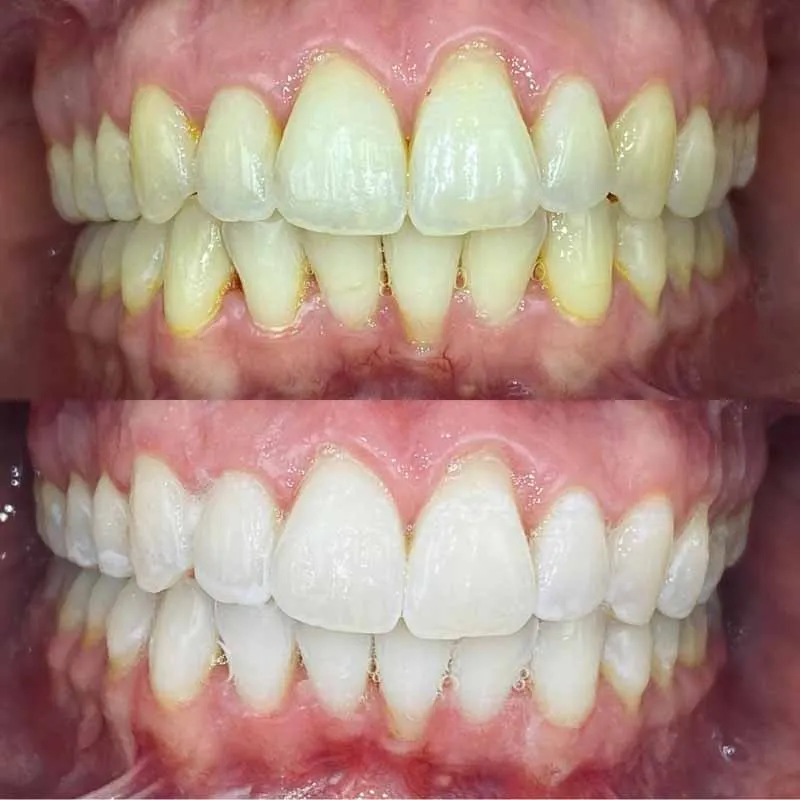
Check out some of our amazing work













*Disclaimer: The information and images provided are general in nature and do not constitute medical advice. Individual results may vary. All treatments carry risks. You should seek the opinion of a qualified health professional to determine if a treatment is suitable for you.
What is Teeth Whitening?
What Causes Teeth Discolouration
Teeth staining is more common than you think it is. Staining can be caused by your food such as citrus, beets; or your drinks like coffee, tea and red wine. This type of staining is referred to as Extrinsic Factors and is relatively easier to remove with proper oral hygiene.
Over years, your lifestyle and bad oral hygiene can leave your teeth looking dull and discoloured.
Another tooth discolouration factor is called Intrinsic. One example is fluorosis, which happens as a result of medication taken throughout childhood. The teeth absorb fluoride (which is found in a lot of antibiotics), and at a young age, it can cause permanent damage to your tooth surface.
Teeth Whitening Options in Blackburn
Your trusted cosmetic dentist at Healthy Smiles in Blackburn Melbourne offers a variety of teeth whitening options: in-chair teeth whitening and take-home tooth whitening procedures.
Both options guarantee a healthier and brighter smile that is sure to bring you more joyous days. Safe and effective, teeth whitening Melbourne-clinic treatments is a cost-effective cosmetic dental treatment.
In-chair Professional Zoom Teeth Whitening Blackburn
Benefits of In-Chair Teeth Whitening at Healthy Smiles
- In-chair teeth whitening provides a professional whitening solution that’s quick, safe, and efficient.
- In-chair whitening treatments usually work last longer than take-home kits and allow you to walk out of the clinic with a whiter, brighter smile within the hour
- At Healthy Smiles, you’ll also be given a top-up whitening gel with mouth splints to apply at home after your initial treatment, at no additional cost. This top-up gel can be used every three to six months to maintain a whiter smile. Additional top-up gels are also available for purchase.
- After a year or two, minor touch-up treatments may be recommended by your dentist to maintain the whiteness.
Take-Home Teeth Whitening Options in Blackburn
Want to achieve that glow but don’t have the time for a dental appointment? No worries, we got you!
Healthy Smiles also offers take-home teeth whitening kits. Whiten your teeth at the comfort of your home, anytime you want to! Common whitening gel brands used at our clinic include Philips Zoom Whitening and Pola Advanced Tooth Whitening System.
Should you decide to use our Take-home Teeth Whitening option, the following steps commence:
- First, your dentist will assess your eligibility for teeth whitening treatment during an initial oral examination.
- Once confirmed that you are an ideal candidate, you’ll be fitted with a customised whitening tray and gel to apply from home.
- The whitening tray can be comfortably worn with ease for a specified time of usually two to four weeks, at the end of which you’ll have a brighter shade of white teeth.
Why Take-Home Teeth Whitening Kits?
Benefits Of Teeth Whitening
-
Brighter Smile
Don’t let your gloomy tooth shade stop you from enjoying the best moments in life! Brighten your teeth up to 8 shades whiter for just 45 minutes at Healthy Smiles. -
Boost Self-esteem
Your smile should match your best vibes. Whether you are forging business partnerships or just simply enjoying your day, do each task with utmost confidence and your great smile. -
Look young, feel young!
Smiling can take years off your age. Look more youthful with your brighter smile and don’t be afraid to share the joy with others too!
The Whitening Procedure in Blackburn
- Our gentle dental hygienist prepares your teeth by removing surface stains any buildup on your mouth
- Your cosmetic dentist prepares your teeth by applying a layer of advanced whitening gel to your teeth.
- The WhiteSpeed blue LED lamp is focused onto your teeth to activate the bleaching gel.
- The entire procedure takes only 2 hours!
- Once your desired shade is reached, a post-treatment gel is added. This protects your enamel and reduces tooth sensitivity.
Before the end of your dental appointment, your Blackburn cosmetic dentist will provide you with custom whitening trays and a take home whitening kit. This is already included in your Zoom! Whitening treatment. So you can easily make your day extra brighter by topping-up the shine on your teeth anytime you want.
Whichever procedure you choose it is highly recommended you see us for an initial consultation and check up to make sure the whitening will work for you and also that you do not end up with complications due to unhealthy gums and decay.
Are you proactive, compassionate and caring? Love working in a challenging and rewarding role? want to hone your skills? Join Healthy Smiles.
Frequently Asked Questions
Who are ideal candidates for teeth whitening?
Almost anyone can enjoy the benefits of teeth whitening. The minimum requirement is to have healthy gums. During your dental appointment, your Blackburn cosmetic dentist will check if you are an ideal candidate for teeth whitening depending on your current oral health including the discolouration on your teeth. This is because intrinsically-caused discolouration can’t be solved by teeth whitening. You may need other cosmetic options like porcelain veneers and crowns.
Are over-the-counter teeth whitening kits the same with take-home teeth whitening?
Is the teeth whitening procedure painful?
The teeth whitening procedure is generally pain-free. You may experience tooth sensitivity during or after treatment and slight discomfort in the gums, but both side effects are temporary and will disappear after a few days.
However, if you experience discomfort or have a low pain tolerance, we have different sleep dentistry options to assist you during your In-chair teeth whitening treatment.
Choose among:
- General Anaesthesia – Best for patients with deep phobia and fear and who can not open their mouths at the sleep dentist. As well as younger individuals who need wisdom teeth removed and older individuals who need major work but have limited time and want no memory of the procedure.
- IV Sedation – Best for moderate to mild phobic patients, those with anxiety issues and patients with a severe gag reflex. When a patient needs major dental work in single long session.
- Happy Gas – Best for patients who dislike needles as it provides a bit of altered consciousness and reduces mild anti-anxiety. It can be used safely for most patients except for ones with a terminal disease or respiratory obstruction, severe cold or hay fever.
- Anti Anxiety Medication/Sedation via Inhalation – Best for patients with mild anxiety. It is easy to use, non-threatening and patients are in control with the device in their hand and can moderate how much they need to use.
- Oral sedation – Most common form of antianxiety medication used for majority of patients. Best for patients who have fear of needles.